Add Your Heading Text Here
3D IMAGING TECHNOLOGY
HDX CYOPTIX is our advanced imaging solution designed to deliver exceptional clarity and precision. As a continuously evolving software technology, CYOPTIX enhances image contrast and detail, supporting accurate diagnostics across various applications.
With a special emphasis on airway treatment (airway Tx)—a critical area for both ENT specialists and dental professionals—CYOPTIX provides the high-resolution imaging necessary for evaluating airway structures, aiding in the diagnosis and planning of conditions such as obstructive sleep apnea and other craniofacial concerns.
Since its inception, CYOPTIX has undergone continuous development. Our state-of-the-art image reconstruction algorithm now identifies the optimal value for each voxel, dramatically enhancing both contrast and sharpness for clearer, more reliable diagnostic outcomes.
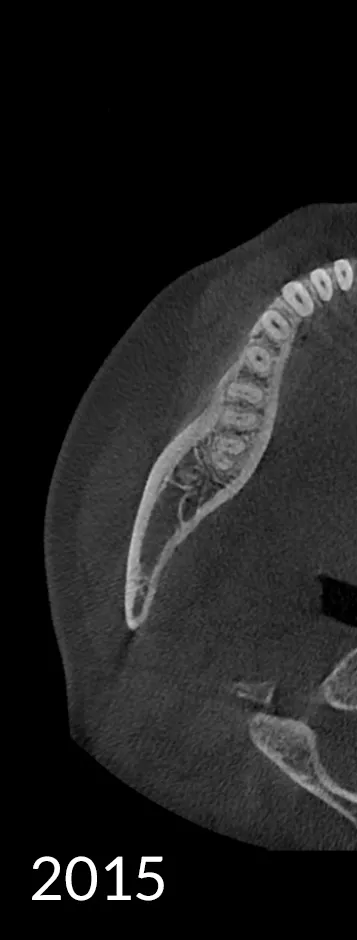
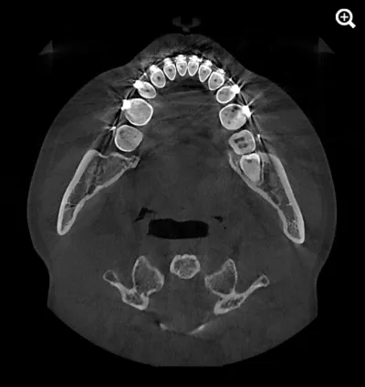
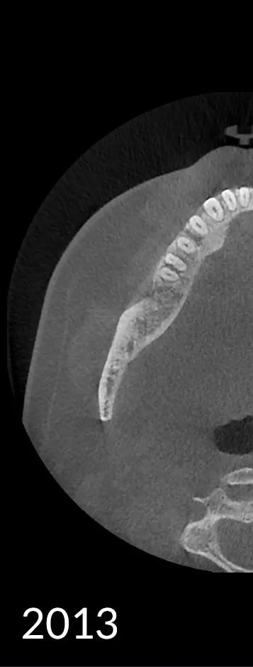
When capturing a CBCT scan, the presence of metal in the oral cavity can introduce artifacts, shadows, and bright streaks that significantly compromise image quality. These distortions may obscure critical anatomical structures, making it more difficult to evaluate bone integrity and surrounding areas—adding complexity to diagnosis and increasing clinical stress.
HDX WILL’s cutting-edge technology now offers a powerful solution through PrecisionMAR™, a metal artifact reduction feature that enhances clarity and ensures more precise imaging—even around metal. This is especially valuable for both dental professionals and ENT specialists focused on comprehensive treatment planning, including airway-focused care.
Minimizes scatter for cleaner imaging
Reduces shading and streak-related artifacts
Clearly defines bone and dental structures adjacent to metal
With improved image fidelity, practitioners can more confidently diagnose conditions, plan treatments, and support airway health initiatives critical to both dental and ENT fields.